Before & After Gallery
Below are samples of before and after photos from various case collaborations with Inter-Chrome Dental lab and our clients. If you have any questions about your upcoming case, our services or products, contact us today.


Take a look at this stunning smile makeover. The final result: Full Contour Zirconia crowns (7–11) for a natural, durable, and dazzling finish!

After years of taking care of others, this patient was ready to take care of himself. He deserves to have a beautiful smile and he absolutely loves not having to hide it. In collaboration with Hosek Dentistry

Smile enhancement by Inter-Chrome Dental in collaboration with Georgetown Dental Studio. The goal for this patient was to enhance his smile while making it look as natural as possible.

After suffering from trauma and a failed implant, this patient was left with minimal facial bone. She now feels happy and confident with her smile. By Embury Family Dentistry

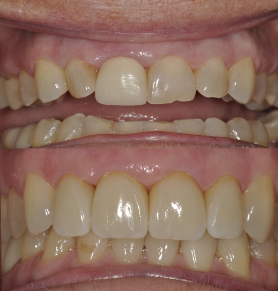
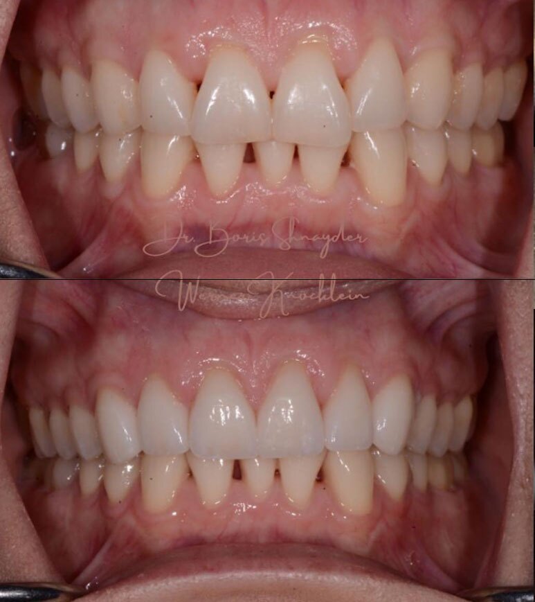
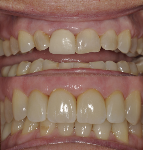
Implant Crown Porcelain Fused to Zirconia by Werner Knocklein

Porcelain work by Inter-Chrome Dental in collaboration with Georgetown Dental Studio.

EMax Veneers

A dramatic difference in improving two front teeth by Dr. Irtiza Abbas with Konikoff Dentistry.

The risks of an implant out-weighed the benefits in this situation, and Georgetown Dental Studio’s job as restorative doctors is to adapt!
A Maryland bridge was used to replace a single tooth. Not too bad for plan B!

Another example of Georgetown Dental Studio’s work using a Maryland bridge to replace a tooth. What a difference!

Porcelain fused to Zirconia splinted implant crowns by Atlantic Implant Institute.

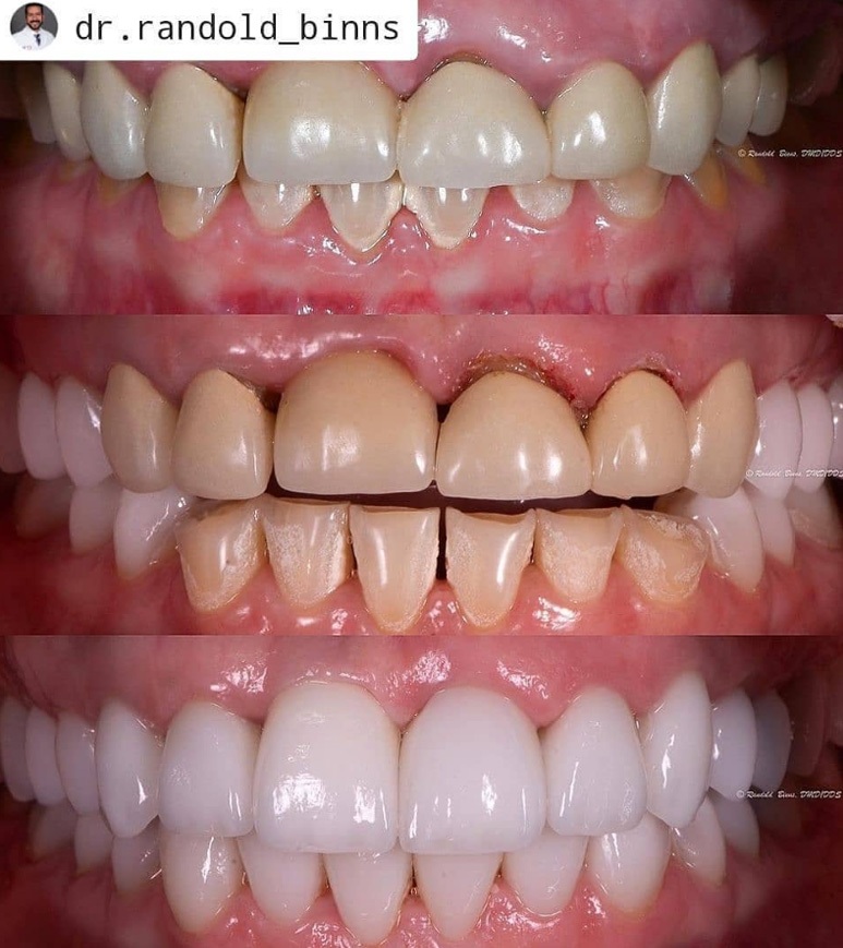
This 3 step protocol by Dr. Randolph Binns is in collaboration with Inter-Chrome Dental.
Top photo: initial presentation with increased vertical overlap, massive occlusal wear
Center photo: White bite after after evaluation of esthetic and function in the wax try in
Bottom photo: Finalized case

This case collaboration with Rosewood Dental and Inter-Chrome is a beautiful restoration of 28 teeth with the goal of rebuilding a worn down bite and to improve the patient’s overall smile aesthetics.

You are never fully dressed without a smile. This collaboration with Mercer Smiles Family Dentistry and Inter-Chrome Dental lab includes our IC ELITE product line, minimum prep, Lithium disilicate layered veneers 4 to 14, crowns on 3 and 14.
This case collaboration included Dr. Casey Snyder of Princess Anne Center Dental Arts and Inter-Chrome Dental Lab owner and removable technician, Eddi von Schlichting. This case shows the transformation process from no anterior teeth with a partial denture, to a full upper and lower immediate denture.
After having an upper denture for many years that required multiple repairs, this patient was ready for a new denture that fit his mouth perfectly. He is now very happy to have his smile back! This case collaboration involved Dr. Chanel Stohrer of Great Bridge Dental and Inter-Chrome Dental Lab owner and removable technician, Eddi von Schlichting.
Loving the results in this case. Sometimes it just takes that one tooth to restore the smile to and that confidence shine through! In collaboration with Coastal Smile Design.

Many times, lateral incisors do not grow in which can create uneven spacing and alignment of the front teeth. The first step with a case like this is working with an orthodontist to align the teeth correctly so that there is proper room for replacement teeth.
Due to the young age of this patient, a fixed Maryland Bridge was used to replace the missing teeth. Once this patient’s skeletal development reaches full growth, implants can then be placed in the mouth.
This is a case collaboration by Thabet Orthodontics, Rosewood Dental and Inter-Chrome.
